Instant Digital Pathology - Overview
Request Live-Demo
Solution

Instant
Digital Pathology

Ex Vivo imaging. Rapid on-site evaluation workflow.
In just 5 minutes.

H&E-like images during surgery. Within minutes. Immediate results possible.

H&E-like digital images. Intraoperatively. At the beside. In just 5 minutes.

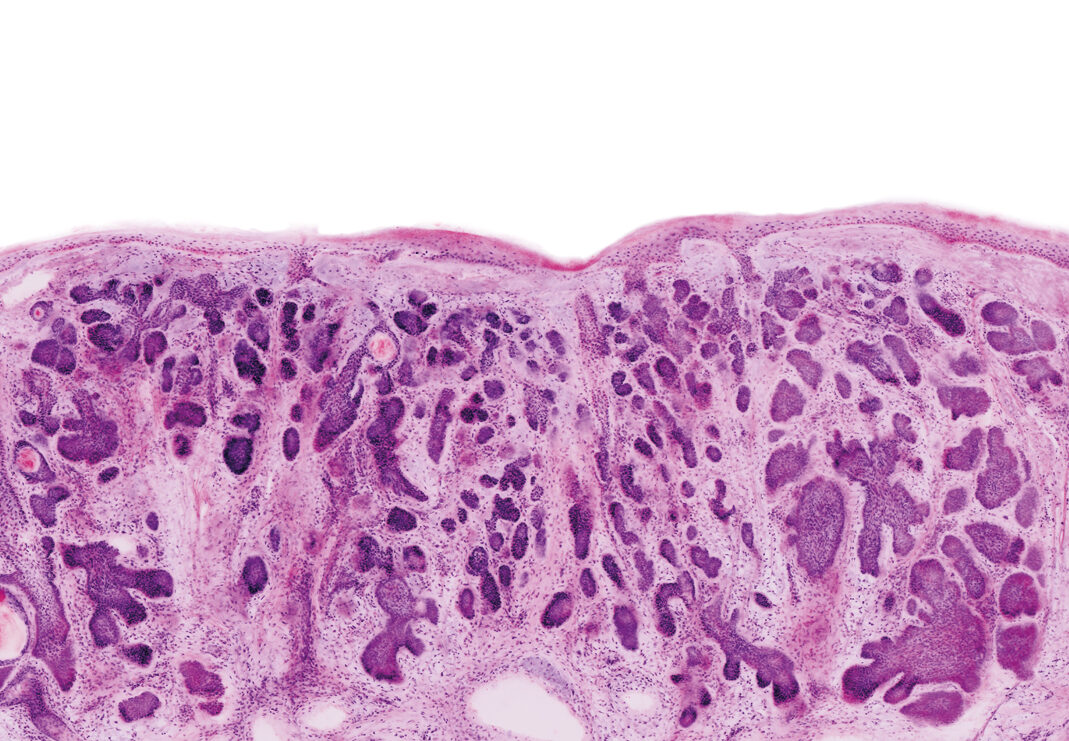
VivaScope technology is based on confocal microscopy (CLSM) and acquires images of superb optical resolution and contrast. Two lasers of different wavelengths create two distinct images, a fluorescence image and a reflectance image. Both signals are scanned simultaneously and are used to create pseudo-colored images. The device’s software uses an algorithm to translate the acquired image information into colors that resemble H&E. It’s not just digital pathology. Because you receive H&E like images during ongoing surgery, we call it “instant digital pathology”.

Images courtesy of Dr Javiera Pérez-Anker.
Basal cell carcinoma; imaged with the VivaScope 2500 (left) and after H&E staining (right)

See Publications
Solution

Applications

The VivaScope 2500 enables intraoperative assessment of tumor margins as well as immediate examination of biopsies. Surgical workflows and patient management can thus be significantly improved. The acquired images show subcellular details of the examined tissue.

Solution

100+ Publications

By using our technology of the VivaScope 2500, we are already part in more than 100+ publications. And there are more to come. The most application fields for instant digital pathology are so far Dermatology, Urology, EUS / EBUS – FNA / FNB, Organ Transplantation, Gastroenterology, Interventional Radiology and Senology / Gynaecology.

Get trained from our application experts.

Our training programme covers the complete (sensory) range, with the focus primarily on you as a doctor. Using various training methods and learning materials that we provide you with.

The VivaScope 2500

Preparation and staining of the tissue takes only a few minutes. For easy portability, the VivaScope 2500 can be installed on a movable table and thus be used in different locations. Now you are ready for the instant digital pathology workflow.

Download the brochure

Everything at a glance? Download our brochure package as a PDF with all the information about the product, technology and how we connect it to the network in your clinic/practice on site. Or order your print version.

 

Additional services:

Technology
Category
Country
Reset
Show More
Sorry, no clinic or reference centre exists (yet) for this combination.

We are constantly expanding our clinic partners.
If you have any questions, contact us.

Sorry!
Solution

Seminars and trainings

We provide extensive and intensive on-site training to all of our customers. For a fast and precise application. You want a live demonstration or digital consulation? Than contact us any time.

Solution

Meet us - Congresses:

Take the opportunity to learn more about our products at the various trade shows and congresses around the world. Get in touch with our team on site.

FAQ

What is Ex Vivo?
Ex Vivo in our context describes our VivaScope Microscope 2500, which is ideal for fresh tissue removed from an organism. The tissue can be analyzed immediately and H&E-like digital images provide information about the removed tissue within minutes. With VivaNet (connectivity solution), you are connected to external or internal pathologists as needed. They can make an initial diagnosis while you are in the operating room. The number of biopsies taken can be significantly reduced.
Connectivity: Is it possible to connect it to our hospital / clinic?
The device is capable of working within a hospital's DICOM environment to enable storage, search, viewing, scheduling and backup of acquired images. It also provides an optional HL7 communication with HIS (hospital information system) allowing for an even smoother integration into the hospital's environment.
Does the workflow really take only 5 minutes?
Yes, from sample collection, subsequent placement in the VivaScope 2500 microscope, and generation of the final H&E-like is approximately 3-5 minutes. This depends on the type of sample.
Are the H&E-like images really similar to read?
Yes, we have various comparison images available that show the similarity to standard H&E images. Pathologists also recognize a very high similarity in the VivaScope images, so you can read them. You would like to see and compare them? Please contact us here.
I'm interested, what are the next steps?
If your are interested contact us. Afterwards, we would be happy to conduct a free, no-obligation demo with you, either on-site or digitally. This usually takes 1-2 hours. If you only want a first meeting, it can of course be shorter. We adapt to your wishes.
I would like to book a free (digital or on-site) demonstration?
We would be happy to conduct a free, no-obligation demo with you, either on-site or digitally. This usually takes 1-2 hours. Please contact us here.
Is it possible to delegate the procedure to someone else?
Yes, the procedure is simple and can be delegated.