About Us - Overview

About us

Discover the world of VivaScope

 

 

 

 

VivaScope Superheroes

Motivated. Dynamic. Creative.

Our motivation is progress for medicine. Worldwide. We are actively involved in developing and advancing this progress – this is what our employees in Germany and America stand for.
One Team. One Goal. Let’s save time with innovative products & workflows.

Solution

History & Tradition

Tradition. Familiar. forward-looking.

What began in 2006 as a specialised department in the family business MAVIG GmbH developed into an independent, globally successful company that has established itself as an expert in the medical technology market. We present you the history of the VivaScope GmbH which is located in the heart of Munich.

1921

Friedrich Walter Hänel founds F. Walter Hänel GmbH, later MAVIG.
2006

Development and sale of the world's first in vivo confocal laser scanning microscope (CLSM) VivaScope. For the first time, an optical biopsy in real time is possible.

All images courtesy of Prof. Dr Elke Sattler, Dr Martina Ulrich, Prof. Dr Julia Welzel
2010

Launch of VS3000 handheld confocal microscope.
2011

Publication of the first edition of the S1 Guideline: "Confocal Laser Microscopy in Dermatology".
2017

Introduction of the RS-G4 research microscope.
H&E-like images during surgery. Within minutes. Immediate results possible.
2018

Introduction of the VS 2500M-G4 for digital frozen sectioning in various areas of application.

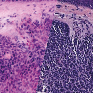
Images courtesy of Dr Javiera Pérez-Anker.
Basal cell carcinoma; imaged with the VivaScope 2500 (left) and after H&E staining (right)
2018

Development of urology as a field of application.
VivaScope GmbH

Sales Partner

We do not master the daily challenges alone, because we are actively supported by our sales partners all over the world in the distribution and training of our products. With great gratefulness, we would like to introduce you to our sales partners.

Solution

Work at VivaScope

#confocalteam

Our confocal laser scanning microscopes are used worldwide. In clinics, medical practices, laboratories. – The versatility of our application areas for VivaScope products is also reflected in your career opportunities. Whether sales, It, administration, product management, service – we offer perspectives with a future.

News & Blog

Always be up to date – In our news and blog section you will always be the first to know about news around VivaScope. You will also find exciting blog articles on many different topics. Curious? Then read in!

Events

Take the opportunity to learn more about our products at the various trade shows and congresses around the world. You can see our participation here. We are looking forward to your visit at our booth.